AUTEUR DE L’ARTICLE
Docteur vétérinaire Thomas CHAVALLE – Dip EVCIM – Oncology

 

 

Présentation du cas

Un chien croisé mâle castré de 10 ans est présenté en consultation pour une pollakiurie évoluant depuis environ quinze jours, sans atteinte de l’état général. Aucun antécédent notable n’est rapporté.

Quelles sont les causes possibles en cas de pollakiurie chez un chien ?

La pollakiurie se définit comme l’émission anormalement fréquente de faibles volumes d’urine. Chez le chien mâle castré, les causes de pollakiurie sont multiples [1] :

  • Cystite, bactérienne prioritairement, (infection urinaire basse)
  • Présence d’urolithiases vésicales ou urétrales
  • Inflammatoire : cystite polypoïde ou pyogranulomateuse, urétrite granulomateuse
  • Néoplasique (vésicale, urétrale ou prostatique)
  • Atonie du détrusor
  • Sténose urétrale
  • Anomalies anatomiques (par exemple hernie périnéale avec rétroversion de la vessie)
  • Corps étranger urinaire
  • Troubles comportementaux

A l’admission, le toucher rectal révèle une prostatomégalie modérée. Le reste de l’examen clinique général est sans anomalie. Un bilan hémato-biochimique est réalisé et ne montre pas d’anomalie.

Une analyse d’urine est également réalisée sur miction naturelle. Elle met en évidence une leucocyturie et une protéinurie, associées à un sédiment inflammatoire avec présence de cellules épithéliales en quantité modérée, de rares bactéries et des cristaux d’oxalate en quantité modérée.

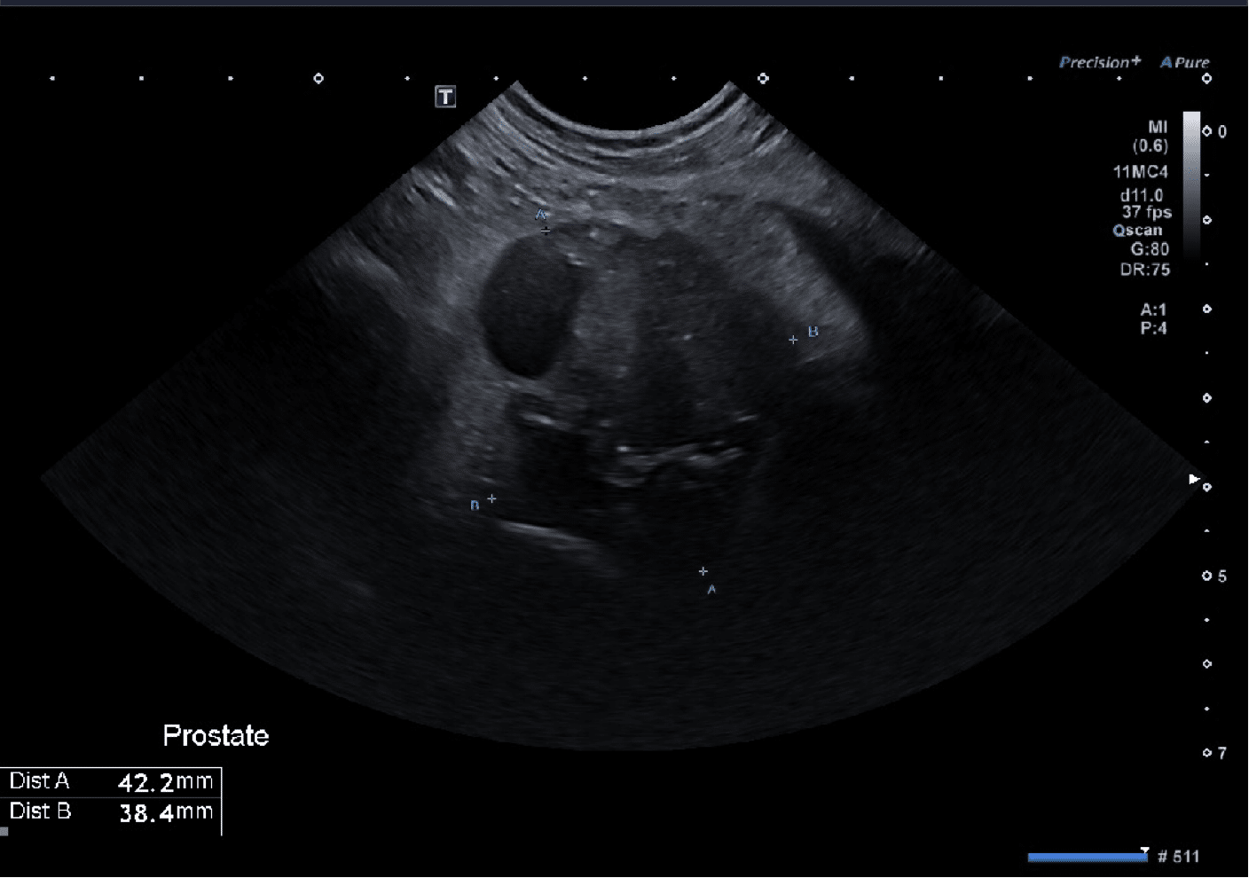
Compte-tenu de ces éléments, une exploration échographique de l’appareil uro-génital est entreprise. L’échographie révèle une prostate de taille augmentée (38 x 42 mm), de contours irréguliers, avec un effacement du sillon médian. Le parenchyme est hétérogène avec des minéralisations et des plages hypoéchogènes (Figure 1).

Prostate visualisée à l’échographie abdominale

Figure 1 : Prostate visualisée à l’échographie abdominale

Quel est votre diagnostic différentiel ?

L’association d’une prostatomégalie irrégulière, d’un parenchyme hétérogène avec minéralisations et de modifications vésicales oriente prioritairement vers un processus néoplasique prostatique avec possible extension vésicale secondaire.

Le diagnostic différentiel principal est un carcinome prostatique (carcinome ou adénocarcinome), issu du parenchyme ou de l’urètre prostatique, avec infiltration secondaire de la vessie. Les critères échographiques observés — hétérogénéité marquée, minéralisations intraparenchymateuses, perte de l’architecture — sont fortement compatibles avec cette hypothèse [2].

D’autres processus tumoraux plus rares restent possibles : tumeurs mésenchymateuses (fibrosarcome, hémangiosarcome) ou tumeurs des cellules interstitielles. L’hyperplasie glandulo-kystique est peu probable chez un chien castré. Une prostatite chronique sévère avec remaniements structuraux pourrait également mimer certains aspects, mais l’aspect minéralisé et irrégulier rend cette hypothèse moins probable comme cause unique.

Une atteinte mixte — néoplasique et infectieuse — doit aussi être envisagée, notamment au vu des anomalies du sédiment urinaire.

Examens complémentaires et confirmation diagnostique

La cytoponction échoguidée est-elle possible dans ce contexte ?

Bien que l’analyse histologique réalisée sur des biopsies échoguidées ou par voie chirurgicale reste le gold standard, elle est techniquement plus invasive dans le cas de néoplasie canine prostatique. Par ailleurs, la cytoponction échoguidée à l’aiguille fine constitue une méthode diagnostique peu invasive, avec une bonne corrélation (environ 80%) avec l’analyse histopathologique [3].

Risque-t-on un essaimage abdominal par ce biais ?

Celui-ci est rapporté mais est si rare qu’il ne devrait pas influencer la décision de pratiquer une cytoponction échoguidée à l’aiguille fine de la prostate et des autres anomalies échographiques dans ce contexte. De plus, étant donné le pronostic associé à ce type tumoral et le délai rapporté de détection des métastases abdominales par rapport au moment où les cytoponctions échoguidées sont réalisées, ce risque d’essaimage ne doit pas être un frein majeur à leur réalisation lorsque l’indication est pertinente [4].

Quels sont les autres outils diagnostiques à notre disposition ?

  • L’analyse cytologique des urines et/ou du liquide prostatique. Les urines peuvent être récoltées par miction naturelle, cystocentèse échoguidée ou sondage urinaire traumatique. Cependant, le sondage urinaire traumatique avec massage prostatique apparaît être la méthode la plus performante avec une sensibilité et une spécificité rapportées de 100%. A l’inverse, lorsque les urines sont récoltées par miction naturelle ou par cystocentèse, on rapporte de faibles sensibilités (de 12 à 73 %) et spécificités (de 0 à 100 %) [5]. Le liquide prostatique peut être récolté via l’éjaculat ou massage prostatique. Pour autant des cellules épithéliales atypiques peuvent être observées dans les sédiments urinaires notamment en cas d’infection du tractus urinaire et entraîner un faux-positif [6].
  • La recherche de la mutation BRAF V595E par PCR sur biopsies tissulaires, urine ou liquide prostatique. Cette méthode de détection est 100 % spécifique, un résultat positif permettant de confirmer la présence d’un carcinome prostatique ou urothélial. La sensibilité est dépendante de la méthode PCR utilisée et cette mutation est présente dans 79 à 85 % des cas de carcinomes prostatiques chez le chien. De plus, si la représentativité de l’échantillon récolté est mauvaise, des faux négatifs sont possibles. Ainsi, il est important de garder à l’esprit que l’absence de cette mutation ne permet pas d’exclure l’hypothèse d’un carcinome prostatique et donc qu’en cas de forte suspicion de carcinome prostatique avec une mutation BRAF absente, d’autres méthodes diagnostiques doivent être utilisées [7].

 

L’avantage des méthodes présentées ci-dessus est l’absence de risque d’essaimage sur le trajet de l’aiguille de la ponction.

Dans notre cas, de l’urine et du liquide prostatique sont prélevés par sondage urinaire avec massage prostatique. Le culot montre la présence de cellules épithéliales atypiques en quantité modérée. Une bactériologie urinaire met en évidence une infection à Streptococcus canis, pouvant expliquer une partie des anomalies inflammatoires et certaines atypies cellulaires.

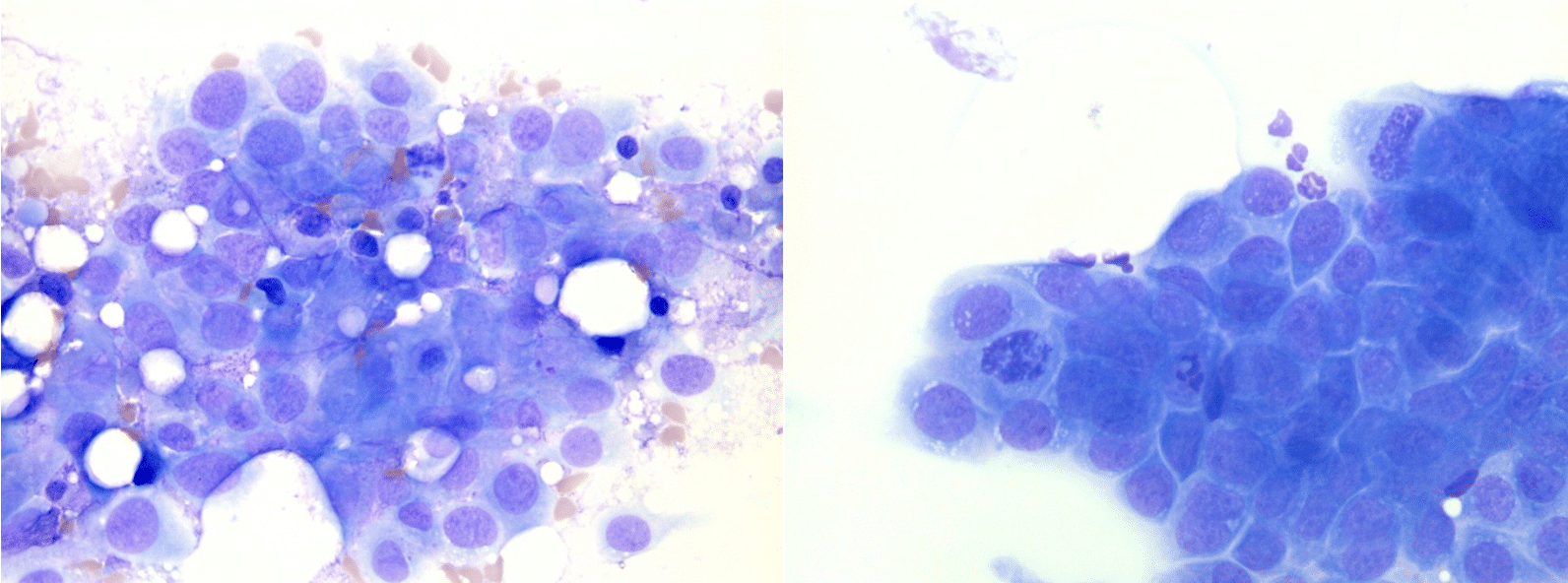
L’analyse cytologique des ponctions à l’aiguille fine échoguidées de la prostate met en évidence une population abondante de cellules épithéliales atypiques organisées en amas cohésifs, avec anisocytose et une anisocaryose modérées à marquées, rapport nucléocytoplasmique augmenté et nombreuses figures de mitoses – compatible avec une tumeur épithéliale maligne (carcinome / adénocarcinome) bien qu’une prostatite extrêmement marquée ne puisse être exclue (Figure 2).

Analyse cytologique des cytoponctions échoguidées à l’aiguille fine de la prostate

Figure 2 : Analyse cytologique des cytoponctions échoguidées à l’aiguille fine de la prostate

Par ailleurs, la mutation BRAF est détectée, venant renforcer la conclusion diagnostique.

Finalement, l’ensemble des données cytologiques et moléculaires permet de conclure à un diagnostic de carcinome prostatique.

Quelles sont les prises en charges thérapeutiques envisageables ?

Au moment du diagnostic, les carcinomes prostatiques canins sont le plus souvent localement avancés, avec infiltration des structures adjacentes, ce qui limite les options curatives.

La prostatectomie totale peut être envisagée dans de rares formes strictement intracapsulaires, sans extension urétrale ni vésicale, avec des médianes de survie rapportées variant d’environ 7 à 17 mois. Elle est toutefois associée à une morbidité importante, notamment une incontinence urinaire fréquente (30 à 80%) et des complications infectieuses postopératoires. Son indication doit donc être soigneusement sélectionnée [8,9].

La radiothérapie a été décrite comme option de contrôle local, mais les données disponibles restent limitées et les effets secondaires urinaires et digestifs ne sont pas négligeables (urétrite, sténose urétrale, colite) [10]. Les techniques d’oncologie interventionnelle (stents urétraux, embolisation prostatique, traitements intra-artériels) constituent des approches palliatives prometteuses pour lever une obstruction et améliorer le confort, mais leur disponibilité reste restreinte [2].

En pratique, la prise en charge est le plus souvent médicale et palliative. Elle repose sur l’association d’une chimiothérapie à dose maximale tolérée (notamment carboplatine, mitoxantrone ou vinblastine) et d’un inhibiteur de COX-2, en raison de la surexpression fréquente de cette voie dans les carcinomes prostatiques [11]. Un traitement anti-COX-2 seul peut également être proposé lorsque la chimiothérapie n’est pas envisageable [12,13]. La chimiothérapie métronomique avec du chloraminophène est parfois utilisée, mais son bénéfice par rapport aux anti-COX-2 seuls n’est pas documenté.

Dans notre cas, un protocole associant carboplatine et firocoxib est instauré après discussion avec les propriétaires. Une amélioration clinique transitoire est observée. Après trois cycles, une progression tumorale avec obstruction urétrale survient, conduisant à la mise en place d’une sonde urinaire puis à une décision d’euthanasie médicalement accompagnée.

 

Discussion – Points clés

Valeur de la cytologie vs histologie. La cytologie échoguidée prostatique offre un excellent compromis entre rendement diagnostique et invasivité. Dans de nombreux contextes cliniques, elle permet d’obtenir une information suffisante pour orienter la prise en charge sans recourir d’emblée à la biopsie.

Intérêt du test BRAF. La détection de la mutation BRAF V595E constitue aujourd’hui un outil majeur d’aide au diagnostic, notamment lorsque la cytologie est douteuse ou que les biopsies sont difficiles. Sa très forte spécificité en fait un test confirmatoire utile en pratique.

Prise en charge palliative raisonnée. La majorité des carcinomes prostatiques canins étant diagnostiqués tardivement, l’objectif thérapeutique est souvent l’amélioration de la qualité de vie. Le choix du protocole doit intégrer efficacité attendue, tolérance, contraintes logistiques et attentes des propriétaires.

 

Références

  1. Clifford CA, de Loirimier LP. Neoplasia of the prostate. In: Ettinger SJ, Feldman EC, Côté E, editors. Textbook of Veterinary Internal Medicine. 9th ed. St. Louis: Elsevier Saunders; 2020.
  2. Gibson EA, Culp WTN. Canine prostate cancer: Current treatments and the role of interventional oncology. Veterinary Sciences. 2024;11:169.
  3. Powe JR, Canfield PJ, Martin PA. Evaluation of the cytologic diagnosis of canine prostatic disorders. Veterinary Clinical Pathology. 2004;33:150-154.
  4. Nyland TG, Wallack ST, Wisner ER. Needle-tract implantation following ultrasound-guided fine-needle aspiration biopsy of transitional cell carcinoma of the bladder, urethra, and prostate. Veterinary Radiology and Ultrasound. 2002;43:50-53.
  5. McAloney CA, Evans SJM, Hokamp JA, Wellman ML, White ME. Comparison of pathologist review protocols for cytologic detection of prostatic and urothelial carcinomas in canines: A bi-institutional retrospective study of 298 cases. Veterinary and Comparative Oncology. 2021;19:374-380.
  6. Kuo CC, Yang SY, Liu RM, Lin YH, Liu CC, Huang WH, Lee JJ, Liao AT. Diagnostic value of conventional polymerase chain reaction for detecting BRAF V595E mutation in liquid and tissue specimens of canine urothelial and prostate carcinomas. Animals. 2024;14:2535.
  7. Aeschlimann L, Kehl A, Guscetti F, et al. Effective detection of BRAFV595E mutation in canine urothelial and prostate carcinomas using immunohistochemistry. Veterinary and Comparative Oncology. 2024;22:295-302.
  8. Iizuka K, Ishigaki K, Seki M, Nagumo T, Tamura K, Sakurai N, Terai K, Asano K. Comparison of outcomes between medical and surgical treatment in dogs with prostatic adenocarcinoma: A retrospective study. BMC Veterinary Research. 2022;18:36.
  9. Bennett TC, Matz BM, Henderson RA, et al. Total prostatectomy as a treatment for prostatic carcinoma in 25 dogs. Veterinary Surgery. 2018;47:367-377.
  10. Walz JZ, Desai N, Van Asselt N, Poirier VJ, Hansen K, Selmic L. Definitive-intent intensity-modulated radiation therapy for treatment of canine prostatic carcinoma: A multi-institutional retrospective study. Veterinary and Comparative Oncology. 2019;17.
  11. Withrow SJ, Vail DM, Page RL, editors. Withrow and MacEwen’s Small Animal Clinical Oncology. 6th ed. St. Louis: Elsevier Saunders; 2020.
  12. Ravicini S, Baines SJ, Taylor A, Amores-Fuster I, Mason SL, Treggiari E. Outcome and prognostic factors in medically treated canine prostatic carcinomas: A multi-institutional study. Veterinary and Comparative Oncology. 2018;16.
  13. Sorenmo KU, Goldschmidt MH, Shofer FS, Goldkamp C, Ferracone J. Evaluation of cyclooxygenase-1 and cyclooxygenase-2 expression and the effect of cyclooxygenase inhibitors in canine prostatic carcinoma. Veterinary and Comparative Oncology. 2004;2:13-23.